• |
  • 회원가입
  • |
  • 로그인
  • 파낙토스통합뇌센터
    센터안내
    검사 및 프로그램
    뇌 아카데미
    이용후기
    고객지원

    파낙토스통합뇌센터란?

    18년 역사의 믿을 수 있는 뇌 전문 기업 파낙토스통합뇌센터를 한 눈에!

    "뇌를 통합하자"
    "혁신적인 뇌 진화 : 위기의 뇌, 뇌를 진화하자"

    가까운 센터 찾기

    내가 있는 곳에서 가장 가까운 센터를 찾아보세요.

      뉴로하모니S

      "보통아이를 영재로
                 영재를 창의적 인재로"

        뇌 통합3단계

        뇌 통합과정은 모두 3단계로
        각각의 특수한 뇌훈련
        프로그램으로 구성되어 있습니다.

          이용후기

          증상별 후기찾기

          현재 고민중인 증상을 검색해보세요.

            가장 빠른 상담 예약

            연락처만 남겨주세요. 최대한 빨리 연락드리겠습니다.

                예약
              NOTICE
            • Search
              •  [대전서구센터]  한밭대 평생교육원 두뇌상담사 수강생모집_2017학년도 겨울학기 ... 
              • 2017-12-04 | 운영자 | HIT: 3272
              • [한밭대 평생교육원 두뇌상담 수강생모집_2017학년도 겨울학기 교육과정]

                 

                많은 호흥 부탁드립니다~

                 

                2017. 12. 겨울방학 도뇌상담사 수강생모집

                 

                시대의 빠른 흐름 속에 잘 적응하기 위해서는 두뇌건강이 필수입니다.

                뇌의 활동상태를 측정하여 두뇌훈련을 통해 조절능력을 향상시키는 방법을 익힙니다.

                뇌신경망 발달은 정신건강, 육체건강을 컨트롤 해주고 기억력, 집중력, 불면증, 주의산만 등에 효과를 줍니다.

                두뇌상담사는 뉴로하모니S 기기를 익히고 뇌파조절과 뇌부위 효과성에 대한 실습과 이론을 익히는 입문 과정입니다.

                 

                20171204_1.jpg

                 

                20171204_2.jpg

                 

                 
              •  [부산해운대센터]  [소식]한국청소년상담학회 부산지역학회 특강 
              • 2017-11-30 | 운영자 | HIT: 2926
              • 안녕하세요^^

                파낙토스 IBC통합뇌센터 해운대센터입니다.

                 

                본 센터에서는 지난 11월 25일 신라대학교에서 한국청소년상담학회 부산지역학회 회원을

                대상으로 6시간 특강을 실시하였습니다.

                최근 뇌과학을 심리상담분야에 접목시킨 뉴로카운셀링에 대한 국제적 동향을 소개하였으며,

                특히 미국의 n-CBT(neuroscience informed CBT, 뇌과학 정보기반 인지행동치료) 상담기법에 대해

                자세히 소개하였습니다. n-CBT는 심리적 문제해결을 위한 신경생리적 반응을 뉴로피드백 등을 이용한

                기술적 접근법을 접목시킨 새로운 인지행동치료기법입니다.

                또한 청소년기의 뇌과학적 연구결과물을 중심으로 청소년기를 이해할 수 있는 내용 소개와

                국내 뉴로피드백 연구동향 및 효과고찰, 뇌파와 뉴로피드백에 대한 내용으로 진행하였습니다.

                상담분야에 뇌과학, 특히 뇌파와 뉴로피드백을 접목하는데에 많은 관심을 보여주셨고, 

                특강 재요청에 따라 추후 새로운 일정으로 부산 뿐만아니라 타 지역학회에도 소개할 예정입니다.

                 

                1511701051711.jpg

                 

                 

              •  [부산해운대센터]  [소식]부산 대동대학교 뉴로피드백 훈련 실시 안내-2017년도 
              • 2017-11-30 | 운영자 | HIT: 3016
              • 안녕하세요^^

                파낙토스 IBC통합뇌센터 해운대센터입니다.

                 

                본 센터에서는 특성화대학인 부산 대동대학교에서 

                창의인성함양프로그램의 일환으로 뉴로피드백 프로그램을

                2017년 11월부터 2018년 2월까지 실시합니다.

                올해에는 처음으로 바쁜 학습일정으로 인해 파낙토스의 홈케어서비스 프로그램을

                도입하여 진행하고 있으며 학교 및 학생들로 하여금 좋은 호응을 보이고 있습니다.

                 

                간호학과 신입생 전원을 대상으로 뇌파를 이용한 뇌기능분석 검사를 실시하고 

                그 결과를 집단상담 및 개인상담을 진행하여  뇌에 기반한 자기인식 및 이해도를 

                향상시켰으며 예년과 같이 뉴로피드백 훈련으로 주의집중력, 기억력, 사고력 등의 인지능력과

                정서 및 행동 안정, 스트레스 해소의 건강증진 등 전반적인 뇌 기능 향상을 목표로 하고 있습니다.

                 

                본 센터는 지난 2011년부터 7년간 대동대학교 뉴로피드백 프로그램을 실시하고 있으며

                학생들의 학습능력향상 및 창의인성함양에 이바지하고 있습니다.

                훈련에 적극적으로 참여해주신 학생분들께 감사드립니다.

                 

                photo0.jpg

                [BQ TEST(뇌 기능분석) 결과 해석] 

                 

                Resized_20171110_131635.jpeg

                 [뉴로피드백 훈련대상자를 위한 홈케어서비스 프로그램 사용자 교육]

                 

                 

                 

              •  [대전서구센터]  한밭대학교_감성공학 조별 과제 발표 
              • 2017-11-30 | 운영자 | HIT: 3128
              •  

                한 학기동안 배운 내용을 토대로 조별 발표과제를 냈습니다.

                실 생활에서 접할 수 있는 감성공학 사례를 수집하고 발표하는 것이였습니다.

                발표자는 랜덤으로 뽑을 테니 모두 함께 낙오자 없이 준비하라는게 저의 요구사항이였습니다.

                드디어 오늘이 발표하는 날이네요.

                반장이 컴퓨터로 조별 '사다리 타기'를 해서 발표자를 뽑았습니다.

                모두 열심히 준비했네요.

                발표자의 태도, ppt구성, 내용, 서론/본론/결론, 질의 응답 등등 전반적인 teawork를 보았습니다.

                 

                한 학생이 마지막에 "감성공학은 (     ) 이다."

                감성공학은 무엇이냐고 물어봅니다. 글쎄 ~~~~ 무얼까?

                 

                '감성공학은 사랑이다'라고 답을 말합니다.

                왜 그렇게 생각해?

                 

                사랑은 설레임이고 기쁨을 주며 알면 알수록 더 빠져드는 것처럼 감성공학은 배우면 배울수록 흥분되고 설레이며 더 알고 싶어지기 때문이랍니다.

                 

                그래? ^^ 훌륭한 제자들입니다.

                 

                다소 부족함이 있었을텐데 열심히 따라와 주었습니다.

                교수법은 이론을 근거로 방향을 제시해주고 시야를 넓혀 세상을 볼 수 있도록 하고 스스로 능동적으로 타인과 소통을 통해서 문제를 해결해 나가도록 지도하는 것이 아닐까 생각됩니다.

                 

                남은 시간 잘 마무리를 해야겠습니다^^

                 

                20171130_1.jpg

                 

                20171130_2.jpg

                 

                20171130_3.jpg

                 

                20171130_4.jpg

                 

                20171130_5.jpg

                 

                 
              •  [대전서구센터]  두뇌성격에 따른 자녀교육 
              • 2017-11-24 | 운영자 | HIT: 2890
              • ​[두뇌성격에 따른 자녀교육}

                준비시간이 꽤 걸리는 작업이였습니다.

                이론과 경험과 평소 소신있게 생각했던 부분들을 조합하는 과정이 만만치는 않았습니다.

                학과 강의와 학부모 특강이 같은 날이였네요.

                "보여지는 행동은 성격에서 나오고 성격은 기질에서 나옵니다.

                기질은 부모의 유전을 받아서 선천적으로 타고나고 이러한 기질들은 환경과 상호작용하면서 성격이 형성되어 갑니다.

                가장 중요한 환경은 엄마의 양육환경입니다"

                아의 기질과 성격은 뇌의 기능에 의해서 저마다 다르게 나타남으로

                아이와 엄마의 두뇌성격유형에 따라 기질과 성격을 강화시킬 수도 위축시킬수도 있습니다.

                죄뇌 우세형과 우뇌 우세형의 부모자녀의 궁합은? 등등 강의와 실습과 발표로 서로 소통하며 의미있는 시간을 보냈습니다.

                첫눈 온 날 행복하신 시간되세요^^

                20171124_1.jpg

                 

                20171124_2.jpg

                 

                20171124_3.jpg

                 

                 
              •  [대전서구센터]  IBC통합뇌센터 전용 시스템 - 클래스훈련 (영어암기, 속독,... 
              • 2017-11-22 | 운영자 | HIT: 3767
              • 출처 파낙토스 IBC (통합뇌센터) | 파낙토스
                원문 http://blog.naver.com/panaxtos/221000722548

                 

                IBC통합뇌센터 전용 시스템 - 클래스훈련 (영어암기, 속독, 성장 프로그램)


                 

                 

                속독프로그램 (Speed Reading)

                기억력과 속독을 동시에 습득 할 수 있습니다.

                 

                기존의 눈동자움직임을 강화시키는 속독법과 달리 뇌의 포토메모리기능을 활용한 속독프로그램입니다.

                총 9단계로 구성되어 있으며 뇌파를 조절하여 포토메모리 기능을 되살려서 이미지로 속독을 하는 새로운 기법입니다.


                단순한 이미지부터 한 페이지까지 단계적으로 훈련을 하다보면 포토메모리 기능이 활성화되어 기억력과 속독이 동시에 발달하게 됩니다.

                문장속독 단계는 학교의 교과과정에 맞춰서 짜여져 있습니다.


                포토메모리 학습

                포토메모리 기능을 다시 발달시켜 문장을 사진 찍듯 이미지로 저장하여 일겅나가는 학습법

                몰입상태 구현

                뉴로피드백 기법으로 뇌파를 조절하여 뇌를 몰입상태로 유도, 포토메모리 기능을 발달시키는 학습법

                시각이미지화 점검

                시각피질영역의 활성화를 체크, 이미지화 작업의 정도를 점검

                인지기능강화
                이미지화를 통한 기억재인으로 인지 기능을 강화



                 

                영어학습프로그램 (English Train)

                아이는 물론 어른도 흥미로운 게임형식의 단계별 언어습득 프로그램입니다.

                갓난아이가 언어를 습득하는 과정을 그대로 활용하여 대상의 이미지와 영어를 직접 연결하여 영어를 모국어로 습득하게 하는 영어 학습 프로그램입니다.

                뉴로피드백으로 뇌파를 언어학습의 최적상태로 바꾸어 제2외국어를 모국어처럼 습득하도록 하는 특수 프로그램입니다.
                학교의 교과과정에 맞춰 초등학교부터 고등학교 3학년까지 그리고 고급과정은 토플단어까지 암기하도록 되어 있습니다.
                회화프로그램은 상황영어를 중심으로 구성되어 있습니다.
                독해는 속독과 같은 기법을 써서 문장을 빨리 읽고 해독하도록 하였습니다.


                20171122_2.jpg

                 

                대상을 보거나 소리를 듣는 경우 의미를 파악하기 위해 시각피질과 청각피질의 고차 피질로 전송되는
                단계까지는 아직 단어와 연결되지 않은 상태입니다. 이 상태까지는 모든 사람들이 언어를 떠나 모두
                똑같은 정보를 갖게 됩니다. 이것은 언어 이전의 상태, 즉 만국 공통어 상태라고 할 수 있습니다.
                이 상태에 특정 언어를 연결시키는 것이 바로 언어를 배우는 과정이 됩니다.
                이때는 영유아기의 뇌파 상태라고 할 수 있습니다.
                뉴로피드백 기법을 활용하여 이러한 뇌상태를 구현하는 것이 가능하고,
                이 상태에서 언어를 습득하게 되면 모국어로 자리잡게 됩니다.


                20171122_3.jpg

                 

                 

                대상을 보면 시각피질에 영상이 맺히고, 소리를 들으면 청각피질에서 듣게 됩니다. 브로카영역은 자신의 의도를 말하는 영역이고 베르니케영역은 상대방이 말하는 것을
                들어서 아는 영역입니다.보로카영역은 말할 때 입의 움직임을 조절하는 운동피질과 가까이 있으며 베르니케영역은 청각피질과 가까이 있습니다. 브로카영역과
                베르니케영역은 신경섬유다발에 의해 밀절하게 연결되어 있어 긴밀하게 협력하고 있으며 이것은 변연계에서 기억을 담당하는 해마복합체와 밀접하게 연결되어 있습니다.



                 

                성장프로그램

                뇌 기능 발달과 함께 키도 쑥쑥~!!

                성장기 아동의 키 성장을 뉴로피드백 훈련과 체조를 통해 촉진하는 프로그램입니다. 뉴로피드백 훈련에 의해 성장과 관련된 뇌기능을 발달시켜 성장관련 신경계를 자극하고
                성장호르몬의 원활한 분비를 촉진하며 성장판을 활성화시켜 키가 성장되도록 합니다. Imagery Therapy가 결합되어 효과를 배가시킵니다.

                 


                 

                20171122_4.jpg

                 

                 
              •  [대전서구센터]  '학대' 받는 세살짜리 아기 뇌를 '사랑' 받은 아기 뇌와 비교... 
              • 2017-11-17 | 운영자 | HIT: 3528
              •  

                출처 파낙토스 IBC (통합뇌센터) | 파낙토스
                원문 http://blog.naver.com/panaxtos/221134306273
                 

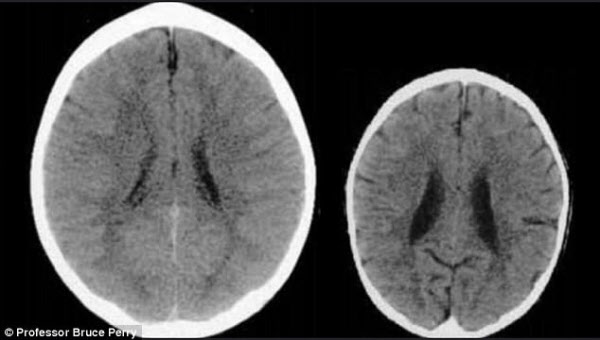
                아래 사진 속 두 개의 뇌 CT 촬영 사진은 모두 세 살배기 아이의 뇌다.

                하지만 같은 나이에 성장 속도가 비슷한 아이의 뇌라고 보기엔, 크기 차이가 현저하다.

                또 오른쪽 뇌는 내부 발육도 훨씬 더디다.

                 

                20171117_1.jpg

                 

                양육 방식에 따라, 세살짜리 아기의 뇌는 크기와 모양에서 큰 차이를 보였다/ 브루스 페리 교수

                미국 텍사스아동병원의 정신치료학과 교수인 브루스 페리 교수는 아기가 받은 ‘사랑’(왼쪽)과 ‘학대(오른쪽)’가 이런 차이를 만들었다고 밝혔다.

                왼쪽 뇌의 아기는 유복한 환경에서 사랑을 받고 자라 ‘정상적인’ 뇌의 모습을 보여주지만, 왼쪽 아기는 루마니아의 한 고아원에서 입양됐으며 무시와 학대 속에서 심한 감정적 트라우마를 겪으며 자랐다.


                페리 교수는 “두 사진은 성장하는 뇌에 학대가 끼치는 부정적 영향을 단적으로 보여준다”고 밝혔다. 오른쪽의 세 살짜리 아이의 뇌는 뇌실이 크고, 피질이 위축된 상태다.

                그는 "오른쪽 아기의 뇌 사진을 보면, 자라면서 따듯한 손길이나 청각, 냄새, 시각 등의 자극을 받지 못해 현재 심각한 ‘감각 박탈’을 겪으며 극도의 학대를 받아왔다고 추정할 수 있다”고 말했다.

                아기는 집중력이 떨어지고 환각 등을 겪을 수 있다.

                 

                 

                20171117_2.jpg

                 

                 

                성장기 아기에게 제대로 사랑을 쏟지 못하면, 나중에도 아기의 뇌 발달 속도는 '정상적인' 아기 뇌를 좇아가지 못한다/

                오른쪽 아기와 같은 뇌의 구조적인 손상은 ‘발달 지연’과 ‘기억력 감퇴’로 이어진다. 피질 위축 증상은 보통 치매에 걸린 노인에게서 발견되는 증상이다. 특히 아이가 신체적 학대를 당하면, 즉시 아이의 뇌에 심각한 손상이 가해진다고 한다.


                비슷한 현상으로 부모가 아기가 말을 안 듣는다고 몸을 마구 흔드는 ‘흔들린 아기 증후군’을 겪은 아기도 뇌세포와 혈관이 파괴돼, 마비·성장 장애·사망을 초래할 수 있고, 장기적으로도 아이의 감정 발전에 치명적인 악영향을 미쳐 커서도 인간 관계를 맺기가 힘들어진다.


                작년 미국 과학자들의 연구에서도, 학대 받은 아기의 뇌가 자라는 속도는 ‘정상적인 아기’ 뇌에 비해 절반에 불과했다. 특히 6세 이하까지의 양육 방식이 아이의 뇌 발달에 큰 영향을 미쳤다. 127명의 아이들의 뇌를 추적 관찰한 이 연구는 “나중에 부모가 좀 더 사랑으로 아이를 대해도, 이미 발육이 늦어진 뇌는 ‘정상적인 환경’에서 자란 아이의 뇌를 좇아가지 못한다”고 밝혔다.



                출처 : http://news.chosun.com/site/data/html_dir/2017/11/03/2017110301584.html 

                 

                 

                 

                 

                 
              •  [News]  2017년 교수위원 교육 및 자격시험 시행 공고 
              • 2017-11-10 | 운영자 | HIT: 2422
              • 2017년 교수위원 교육 및 자격시험 시행 확정공고


                안녕하세요. (재)한국정신과학연구소에서 알려 드립니다.


                뇌전문가 교육과정(뇌상담사, 뇌교육사 교육과정)을 개설할 수 있는 2017년도 교수위원 교육 및 자격시험을 다음과 같이 시행하오니 뇌교육사 분들의 많은 참여 바랍니다.


                1. 교육일시 : 2017년 12월 02(토)~03일(일), 오전 10시~오후 5시


                * 자격시험은 03일 교육 종료 후 오후 4시~5시에 실시함.


                2. 장소 : 파낙토스 서울 본사 (홈페이지 참조)


                서울 송파구 위례성대로16길 7 (방이동, JF빌딩3층)


                3. 강사 : 박병운 박사


                4. 교육내용


                * 뇌상담사, 뇌교육사 교육 방법


                * BQ 해석 및 교육 방법


                * 합격자에게는 교안을 제공함


                5. 수강료 및 전형료 :


                * 신규 수강자 : 150만원


                * 기존 교수위원으로서 재수강자 : 50만원


                * 납부계좌 : 하나은행, 한국정신과학연구소 628-910046-09605


                (교육전에 납부하여야 수강 가능함)


                6. 수강신청 : 2017년 11월 29일(수)까지 신청서 작성 제출(panaxtos88@naver.com)


                7. 참가자격 : 뇌교육사 자격증 소지자


                8. 기타사항


                1) 자격시험 합격자에게는 (재)한국정신과학연구소의 교수임명장, 교수임명패, 교 수명함을 제공함.


                2) 불합격자는 1회에 한해 무료 재시험 가능함.


                3) 지금까지는 교수임명장이 없는 사람도 뇌상담사 및 뇌교육사 교육과정을 개설 하는 경우가 있었으나 앞으로는 교수임명장이 없는 사람은 교육과정을 개설할 수 없음. (교수 자격이 없는 사람이 교육을 개설함으로써 교육의 질이 떨어질 우려가 있으므로 교수임명장이 없는 사람에게 교육받은 경우 자격증을 발 급하지 않을 계획임)


                4) 문의 : 02-2051-1380


                담당 : 김영희과장, 오향진대리

              •  [대구수성센터]  [알림] 2017년 마지막 두뇌전문가 교육과정 공지 
              • 2017-11-06 | 센터장 | HIT: 4404
              • 안녕하세요. 파낙토스 IBC통합뇌센터 대구수성센터입니다.


                저희 대구수성센터에서는 2017년 마지막 두뇌전문가 교육을 뇌파관련교육과 뇌기반 학습지도법 등에 대한 내용으로  실시하오니 관심있으신 분들의 많은 참여 바랍니다. 궁금하신 점 있으시면 전화부탁드립니다.


                # 교 육 목 적 #

                인간의 정신활동을 주관하는 뇌에 대한 올바른 이해와 인식을 바탕으로 과학적이고 효율적인 학습상담과 학습지도를 하여 뇌기반 교육방법 및 교육체계를 구축 할 수 있도록 하며, 뉴로피드백 훈련법을 이용하여 뇌를 발달시켜 학습능력을 향상시킬수 있도록 합니다.


                # 교 육 일 정 #

                2017년 11월 25일, 12월 2일, 9일, 16일, 23일 (토요일)  일8시간/5일

                - 오전 10시부터 18시까지(뇌교육사과정 : 40시간, 뇌상담사과정 : 16시간)

                - 모집인원 : 선착순 10명

                * 상기 교육일정은 센터사정 및 교육생들과의 협의에 의해 변경될 수 있습니다.

                 (정기교육 이외 평일 교육과 단체 맟춤교육, 지방출장교육 가능.. 문의바랍니다.)


                # 교 육 내 용 # 

                기본과정(뇌상담사 과정)

                 뇌파 정의 및 종류 / 뇌파 측정법 및 실습 / 뉴로피드백 원리 및 정의 / 훈련모드 결정법 및 실습 / 뉴로피드백 훈련법 및 실습 / BQ(Brain Quotient)테스트 사용법 및 실습 / 뇌의 구조와 기능 / 뉴로피드백의 역사 / 뇌체조법


                * 화과정(뇌교육사 과정)

                 신경생리학 / 뇌 영양학 / 뇌파 메커니즘 / 뇌파 심리학 / 뇌파 분석법 / 뉴로피드백 훈련법 / BQ분석법 / BQ 학습상담 / 뇌기반 학습 지도법


                * 실습과정

                 기초율동 측정 실습 / 훈련 전후 뇌파 측정 실습 / 훈련 뇌파 측정 실습 / 작업중 뇌파 측정 실습 / 뉴로피드백 훈련 실습 / BQ테스트 측정 실습 / BQ테스트 상담 실습 / 뇌기반 학습지도실습

                 

                # 교육주관 및 후원 #

                - 주관 : 파낙토스 IBC통합뇌센터 대구수성센터

                - 후원 : (재)한국정신과학연구소 / (주)파낙토스


                 

                # 교 육 장 소 #

                - 파낙토스 IBC통합뇌센터 대구수성센터

                - 대구광역시 수성구 명덕로 464 3층(수성동 3가 72-1)


                # 교 육 강 사 #

                - 김 현 기(Ph.D)교수

                  파낙토스 IBC통합뇌센터 대구수성센터 센터장

                  (재)한국정신과학연구소 뉴로피드백 교수요원

                  한국산업안전협회 교수요원


                # 교 육 비 용 #

                뇌상담사 : 250,000원 (자격증 취득시 전형료(50,000원) 별도, 교재비 별도)

                뇌교육사 : 700,000원 (자격증 취득시 전형료(100,000원)별도, 교재비 및 실습비 별도)

                 * 뇌교육사 교육비에는 뇌상담사 교육비가 포함되어 있슴.


                # 수료 후 자격검정시험 통과 후 한국직업능력개발원 민간자격증 '뇌상담사' 또는 '뇌교육사' 자격취득 가능


                # 문 의 처 #

                파낙토스 IBC통합뇌센터 대구수성센터

                - TEL    : 053 - 764 - 7048

                - Mobile : 010 - 2503 - 7048 

                - E-mail : hkkim5730@naver.com  

            • 05543 서울특별시 송파구 오금로11길 33, 3층 파낙토스(방이동, 신동아타워) | 15F, 342, Olympic-ro, Songpa-gu, Seoul, 05542, Rep. of KOREA  | 대표전화 : 02-2051-1380
              이메일 : panaxtos@naver.com | 팩스 : 02-2051-1305 | 사업자등록번호 : 214-88-86454 | 대표 : 박병운

              개인정보 관리책임자 : 김태호 | 개인정보 보호기간 : 회원탈퇴 시 | 전국센터번호 : 1661-4800 (뇌파빵빵)  | 호스팅 사업자 : 카페24

            • QUICK MENU
            • 전국센터찾기전국센터찾기
            • 상담예약상담예약
            • 이용안내이용안내
            • 1661-4800(뇌파빵빵)1661-4800(뇌파빵빵)